
Check-ups, fillings, root canals, extractions, and wisdom teeth removal with gentle techniques and sedation support when needed.
Learn more about General Dentistry
Dentists at Whitehouse Dental Services providing exceptional patient care!
At Whitehouse Dental Services in Hornsby, we believe quality dental care should be accessible to everyone. We're committed to providing excellent, affordable care for all members of our community. Feel free to call our team directly, or speak with our voice assistant for more details and guidance at your convenience.
Special offer for first-time visitors. A great starting point to assess your dental health and plan next steps.
Child Dental Benefits Schedule (CDBS) may help eligible children access dental care. We can help guide you through it. T&Cs apply.
Processing your claim transactions on the spot with participating health funds is available. Bring your health fund card for processing. T&Cs apply.
We accept NSW Government hospital dental vouchers issued through public hospitals and clinics. These vouchers may cover general dental, emergency care, and selected dental plans, with no out-of-pocket costs for included treatments. Additional charges apply for treatments not listed.
Different age groups are eligible for varying levels of health support. Age brackets include 2β6, 7β12, and 13 years and over. Please contact us so we can help you choose the most suitable option. T&Cs applies!
Ask our team about available in-clinic support options to help with payment plans and promotions tailored to your needs. T&Cs apply.
Explore our current offers and support pathways. Availability and eligibility may vary β terms and conditions apply. If you'd like clarity on what's best for you or your family, please call us anytime.


Whitehouse Dental Services clinic has been a pillar of oral health in the Hornsby shire for over three decades, dedicated to providing high-quality dental care in a comfortable and friendly environment. Our journey began with a simple mission: to treat every patient like family.
We believe in preventative care and education as the foundation of good dental health. Our team of experienced professionals constantly update their skills to bring you the latest in dental technology and techniques, ensuring that your visit is as efficient and pain-free as possible. From children's dentistry to orthodontic treatment, we support smiles of all ages.
0+
Years
0k
Patients
0+
Clinicians
Our Pillars
Stress-free environment with or without medications for anxious patients.
We focus on preserving natural teeth whenever possible. Clear plans and clear pricing.
Over 5 qualified clinicians and dental specialists..
Every treatment carefully assessed and justified clinically.

We offer families in Hornsby area, a calm, caring dental experience built on trust, transparency, and expertise.
Quality dental treatments tailored to your needs, from preventive care to advanced restorative solutions.

Check-ups, fillings, root canals, extractions, and wisdom teeth removal with gentle techniques and sedation support when needed.
Learn more about General Dentistry
Dental check-ups, scale and clean, fluoride treatment, fissure sealants, and restorative care to keep teeth strong.
Learn more about Preventive Dentistry
Porcelain veneers, teeth whitening, white spot treatment (fluorosis), and smile makeovers tailored to your goals.
Learn more about Cosmetic Dentistry
Direct composite veneers placed in one visit to fix discoloration, chips, gaps, and minor misalignment with a reversible, repairable option.
Learn more about Composite Veneers
Tooth sealants, orthodontic screening, and decay treatment for growing smiles.
Learn more about Children's Dentistry
Periodontal care to manage inflammation and protect gum health.
Learn more about Gum Disease Treatment
Custom crowns and bridges to restore missing or damaged teeth with natural aesthetics.
Learn more about Crowns and Bridges
Implant planning, placement, and natural-looking restorations with sedation options for anxious patients.
Learn more about Dental Implants
Full or partial denture solutions to restore confidence after tooth loss.
Learn more about Dentures (Artificial Teeth)
Custom sports mouth guards to protect teeth from sports-related injuries.
Learn more about Mouth Guards
Custom night guards to protect enamel, reduce grinding, and ease jaw or neck muscle tension.
Learn more about Occlusal Splints
Medicare support for eligible kids (2β17) worth up to $1,000 over two years for basic dental care.
Learn more about Child Dental Benefits Schedule (CDBS)
Tooth jewelry options including crystals, gold, or silver accents applied safely.
Learn more about Dental Jewelry β Shine Your Smile!
Braces, clear braces, and Invisalign aligners to straighten teeth, correct bites, and improve facial balance.
Learn more about Orthodontic Treatment
Treatment to remove infected or damaged tooth pulp and prevent further decay.
Learn more about Root Canal Treatment
General Dentist
Dr Linh Pham is a qualified dentist who graduated with a Bachelor of Dental Science from Charles Sturt University. She has an extensive background in dental prosthetics, having trained and practised as a dental prosthetist prior to qualifying as a dentist.This combined clinical training strengthens Dr Phamβs understanding of restorative dentistry, occlusion and dental aesthetics, supporting thorough treatment planning and predictable, successful outcomes. She practises within evidence-based guidelines and places strong emphasis on clear communication and informed consent. Dr Pham provides comprehensive general dental care, including preventive, restorative and prosthetic dentistry. She is committed to delivering safe, high-quality dental care in a calm and supportive environment and values building long-term professional relationships to support patientsβ ongoing oral health.

General Dentist
Dr. Kylie Lam is a passionate general dentist who completed Masters of Dentistry from Griffith University. She is committed to providing gentle, patient-centred care and helping patients feel comfortable throughout their visit. Dr. Kylie strongly believes open communication and trust are essential in achieving the best patient outcomes, and ensure patients feel informed and supported at every stage of their treatment. Her calm and friendly manner helps make anxious patients feel at ease in the dental chair. She enjoys all aspects of dentistry, with particular interests in prevention and minimally invasive procedures where possible. Outside of dentistry, Kylie enjoys various sports such as badminton and climbing, as well as crocheting in her spare time.

General Dentist
Dr Abhay Kohli GENERAL DENTIST Book Now Dr. Abhay Kohli has a warm, caring, and gentle approach to put even anxious patients at ease. He is a focused and dedicated dentist who takes dentistry as his passion and always shows duty of care towards his patients. Dr. Kohli is constantly involved in postgraduate education and has a special interest in Dental Implants and Orthodontics, which includes braces and clear aligners. He has completed a postgraduate comprehensive course in Implantology and Orthodontics (controlled arch therapy) which enables him to diagnose airway issues and problems with facial profile of growing kids. He has also completed course in Temporomandibular Joint disorders (TMD) which helps him treat patients having joint disorders, long standing head, and neck pain. He has completed postgraduate residency in Dental Sleep Medicine and treating his patients who have problems like snoring/sleep apnoea/bruxism. During his clinical experience, he has done advanced courses in Bone grafts, Sinus lifts and Intensive implant surgeries, cosmetic injections. He is an associate of International Association for Orthodontics (IAO) and also a member of International Congress of Oral Implantology (ICOI), Australian Dental Association (ADA), International Academy of Advanced Dentistry (IAAD), Australian Society of Implant Dentistry (ASID), Australian Association of Orofacial Orthopaedics (AAOO), Australasian Association of Dental Sleep Medicine (AADSM), Australian Society of Dental Anaesthesiology (ASDA) and Australian Asian Association of Dentists (AAAD). Dr Kohli offers Implant and orthodontic consultation. He provides practical, effective advice for long term benefit from the dental treatment. He also encourages his patients to engage in redefining the dentist-patient relationship to be one of mutual respect and open dialogue so that both dentist and patient find greater satisfaction in their clinical interaction.

General Dentist
Dr Daniel Girgis is the Founder and Director of Mobile Oral Surgery Services Pty Ltd (MOSS). He is dual qualified in medicine (Bachelor of Medicine, Bachelor of Surgery at the University of Adelaide 2014) and dentistry (Doctor of Dental Medicine at the University of Western Australia 2020) and has undertaken 12 months of Oral and Maxillofacial Surgery Training at a registrar level (Prince of Wales Hospital NSW 2021). He routinely performs a variety of oral surgery procedures under inhalational (happy gas) sedation with excellent results & collaborates with sedation specialists who also travel to the dental practice to undertake the IV sedation procedure (patient asleep). In addition, Dr Girgis has extensive experience in medicine including a medical internship, surgical residency and over 5 years of experience as a medical practitioner in emergency departments across New South Wales, South Australia and Western Australia. This background in medicine informs his ability to comprehensively medically assess and optimize patients for a wide range of oral surgical and sedation services. He has first author publications in Australian and International journals and has presented original research in the field of Oral and Maxillofacial Surgery internationally. In establishing MOSS, he has extensive pride in providing a premium service that is not only characterized by quality, safety, comfort and efficiency but also a strong emphasis on patient affordability and accessibility. Dr Daniel Girgis has joined Whitehouse Dental Services clinic for helping people to get beautiful smiles without fear and get a dental procedure done under sedation on the same day and in familiar environment.

General Dentist
Dr Lucy Krjalian GENERAL DENTIST Book Now Dr Lucy Krjalian-Aldjian Bachelor of Science Degree of Doctor in Dentistry β General Dentist Β Dr Lucy Krjalian-Aldjian acquired her Bachelor of Science Degree of Doctor in Dentistry from overseas in 2012. Following 10+ years of experience in the field of General Dentistry andΒ Clinical Educator at University of Sydney. She moved to Australia with her family in 2017. Since then her hard work, dedication and passion for dentistry have enable her to successfully meet all the requirements to become a qualified and registered Dentist in Australia. Dr Lucy is a compassionate clinician coupled with a strong focus on ethics and high standard of patient care. She is highly skilled in all aspects of general dentistry and strives to give each patient an excellent experience, feeling well cared for and confident thatΒ they are receiving the best possible and personalised treatment in a comfortable environment. Dr Lucy has a keen interest in Restorative and Endodontic Dentistry; turning a heavily destroyed or missing teeth into beautifully restored or replaced ones through a variety of options, including naturally looking fillings, crowns and bridges. Also Dr Lucy is an expert in root canal treatment (RCT) which is used to save a tooth that has been badly damaged due to decay, disease or injury. Dr Lucy takes pride in offering a comprehensive range of Dental services, including Teeth Whitening and Composite or Porselain Veneers to help her patients achieve bright, beautiful and confident smiles. Dr Lucy used to run her dental appointments with her patients in a stress free approach, helping people to feel more relaxed in a dental chair. Dr Lucy Krjalian-Aldjian joined Whitehouse Dental Services clinic in May 2025 and she is really enjoying this community. She treats her patients like her family and friends. Outside of the clinic, Dr Lucy loves travelling, discovering new places and countries, cooking and enjoying time with family and friends. She has a family of four people with two children,two sons are still little and they live in a happy family. Dr Krjalian Aldjian is enjoying nature, visiting flowerβs festivals and dancing. She is fluently speaking English, Armenian and Arabic.

Practice Manager
Svetlana (Lana) has been with Whitehouse Dental Services clinic since 2019, ensuring patients receive attentive service while the practice maintains excellent quality, cost, and delivery performance. At Whitehouse Dental Services clinic, our Practice Manager is dedicated to making every patient feel welcome, supported, and confident in their care. With strong organisational skills and a friendly approach, she ensures the clinic runs smoothly each day. From managing appointments and supporting our dental team to assisting patients with enquiries and treatment coordination, Lana is always ready to help. The practice manager takes pride in creating a calm, positive, and caring environment where patients feel comfortable and respected. She believes that clear communication, attention to detail, and genuine compassion are essential to delivering outstanding dental care. Her commitment to excellence helps ensure that every visit to Whitehouse Dental Services clinic is a pleasant and stress-free experience.
Discover why thousands of families in Hornsby and the surrounding suburbs have trusted us with their smiles for over 30 years.
"I was always afraid of the dentist until I came to Whitehouse Dental Services clinic. Dr. Hayward is incredibly gentle and explains everything. Highly recommended!"
"Great service and very friendly staff. They fit me in for an emergency appointment on the same day when I had a toothache. Very grateful."
"My kids actually look forward to their check-ups now. The team is wonderful with children and makes the whole experience fun."
"Professional, clean, and modern clinic. I had some cosmetic work done and the results are fantastic. I can't stop smiling!"
"Reception staff are lovely and helpful with insurance claims. The dentists are thorough and honest. I wouldn't go anywhere else."
"Finally found a very good dental clinic in Hornsby area. Highly recommend if you have got kids."
Based on 200+ Google Reviews from Hornsby locals
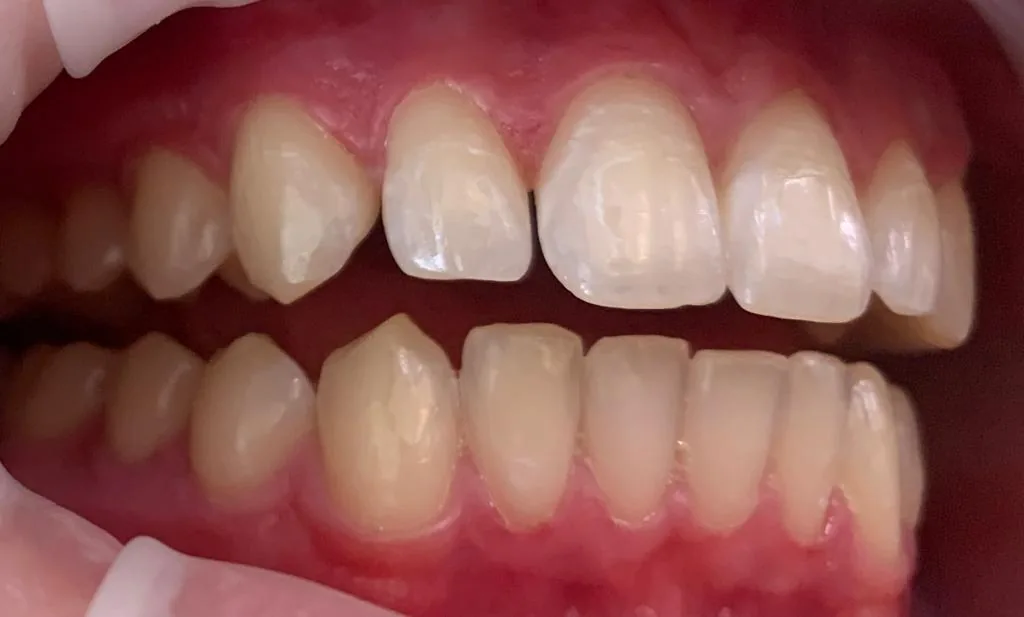
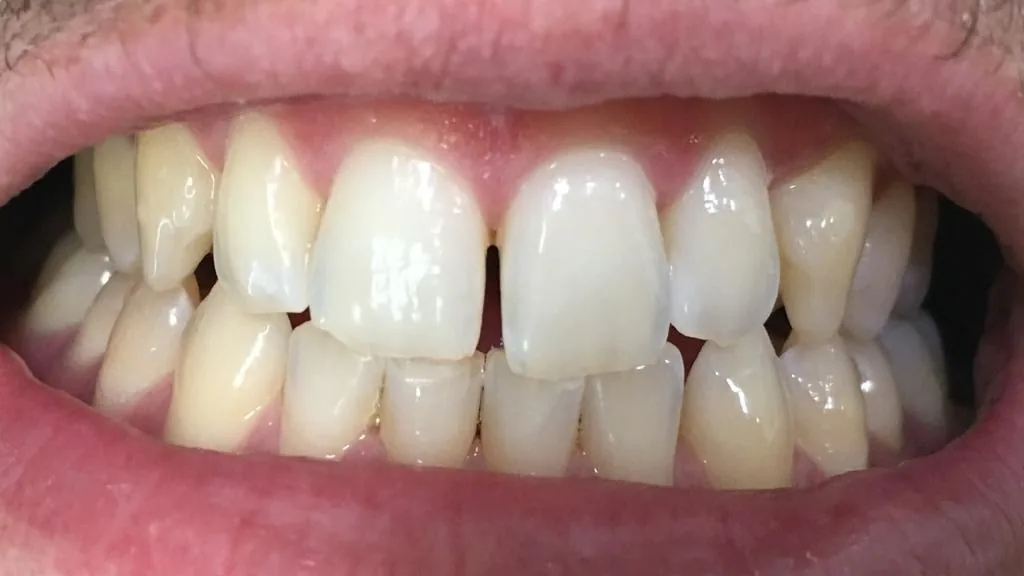
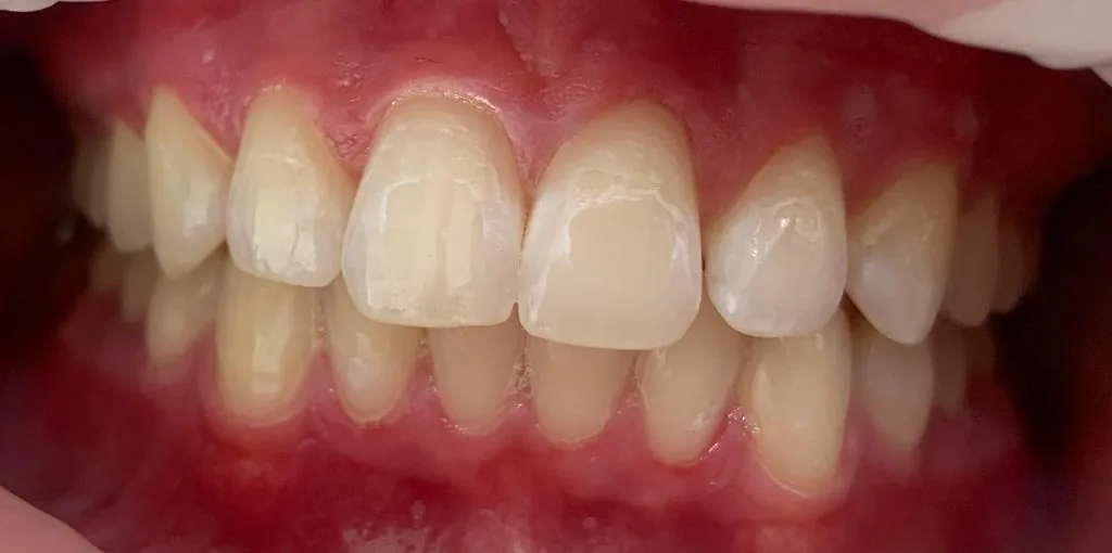
A showcase of the transformative results and modern clinical environment at Whitehouse Dental Services.
Featured Transformations
Drag the slider on each image to see the stunning transformations achieved through our advanced cosmetic dentistry techniques and personalized care.
Advanced cosmetic dentistry combining veneers, whitening, and precision alignment for a stunning, natural-looking result.
Professional whitening and contouring to achieve brighter, more balanced teeth with enhanced symmetry and proportion.
Full smile rejuvenation through expert restoration techniques, creating a radiant and confident smile transformation.

Dental implants provide a reliable, long-term solution for missing teeth, restoring both appearance and function with a natural feel.

Yesβcrowns complete the implant to deliver strength and a natural look. Learn how the crown and implant work together.

Composite veneers refresh smiles quickly; with proper care they often last 5β7 years before repair or replacement.

A primer on implant surgery steps, healing, and why implants are a premier option for restoring your smile.

Implants can outperform traditional dentures in comfort, function, and long-term valueβhereβs why.

When to remove wisdom teeth, what to expect during recovery, and how we keep you comfortable.
Expert answers to your most common questions about oral health, treatments, and dental procedures.
We combine state-of-the-art dental technology with a gentle, patient-first approach. From routine check-ups to complex restorative work, your smile is in safe hands.
Experienced & Caring Team
Advanced Dental Technology
Relaxing & Comfortable Environment
Emergency Appointments Available


Instant rebates for all private health funds.
Bulk billing for eligible children.
We welcome Gold and White Card holders.
Free parking available onsite
Choose the appointment type, pick your preferred clinician, and lock in the exact time that suits you. Instant confirmation, no phone tag.

Online Β· Instant confirmation
My family trusts Whitehouse Dental Services dentists completely, theyβve been with us for years and helped us on numerous occasions.
β